歯周病
歯周病でお悩みの方は大勢いらっしゃいます。現代の医学でも歯周病を完全に治すことは困難なのが現状です。
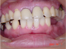
歯周病はお口の中の汚れによる歯周病菌が原因とされることが多いのですが、そのほかにも例えば、お口の中に常在するカビによっても引き起こされると考えられています。そのカビが、歯周病菌の温床となり毒素を出して歯周を痛め骨を溶かします。
当院では、保険診療での対処療法と、保険診療では対応できない一歩進んだ自費診療を行い、皆様の歯を少しでも残したいと考えています。
歯周病はお口の中の汚れによる歯周病菌が原因とされることが多いのですが、そのほかにも例えば、お口の中に常在するカビによっても引き起こされると考えられています。そのカビが、歯周病菌の温床となり毒素を出して歯周を痛め骨を溶かします。
当院では、保険診療での対処療法と、保険診療では対応できない一歩進んだ自費診療を行い、皆様の歯を少しでも残したいと考えています。
保険診療による治療
歯周病の原因である汚れを取るために皆さまのお口の状態に合わせて歯ブラシ指導を行い、歯ブラシでは取り除けない歯石などを掃除します。腫れてしまうなどの症状のでている歯肉にはお薬を処方し、必要に応じてかみ合わせの調整をしております。

自費診療による治療
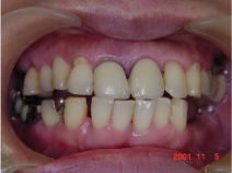
保険診療より一歩進んだ治療では、お口の中の原因菌の数を調べ、特別な薬剤を用いて積極的にその菌を駆除することで菌数を減らし、お口の環境を整えていきます。治療の際にできるだけ歯を残したいという気持ちで始めたのが、この歯周病治療方法です。
当院では、すでに数百人の方にこの治療方法をお受けいただいております。
しかし、この治療方法でも必ずしも全ての歯を残すことができるというわけではありません。保険診療でできる治療レベルから少しでもよい処置をして差し上げたいという想いでこの治療を行っていることをご理解ください。
保険給付が適用できる治療は、極力保険にて行います。自費診療となる治療は以下のとおりです。
当院では、すでに数百人の方にこの治療方法をお受けいただいております。
しかし、この治療方法でも必ずしも全ての歯を残すことができるというわけではありません。保険診療でできる治療レベルから少しでもよい処置をして差し上げたいという想いでこの治療を行っていることをご理解ください。
保険給付が適用できる治療は、極力保険にて行います。自費診療となる治療は以下のとおりです。

| 基本治療費(初回時のみ) | 3,500円 × お口の中の歯の数 ※お口の中の全ての歯を対象とするため、特定の歯のみの適用はできません。 |
| 薬剤入り歯磨剤 | 800円 |
| 歯ブラシ | 320円 |
| 経過観察・メンテナンス | 1,800円 ※改善状態により1〜3ヶ月毎にご来院していただきます。 |
治療の流れ

1. 術前チェック
術前段階での歯周病の進行度や口腔内の状態を記録します。あわせて歯垢を除去して、治療対象となるお口の中の歯周病原因菌の培養検査をします。

2. 指導開始
培養検査の結果、この治療の有効性が認められれば、実際に歯磨材とブラシを使って、磨き方や歯磨材の使い方を指導します。

3. 口腔内のチェック
ご自宅にて指導したとおりに実践していただき、約1週間後に一度口腔内の変化をチェックいたします。この後、ご自宅での実践とチェックを数回繰り返します。

4. メンテナンス
数回のチェックの後、改善が認められれば治療はいったん終了です。状態維持のため、1〜3ヶ月毎に経過観察メンテナンスとして来院いただきます。





