詰物・冠
虫歯を治す時、必ず銀歯になるとお思いではありませんか。虫歯のあとを治す方法にもいくつか種類があります。以前に治療した銀歯が気になる方もその歯を白くすることができます。

保険診療による治療
保険診療でも歯を白く治すことができます。歯に近い色のプラスチックを詰めたり、冠として使うことで銀歯ではない治療が行えます(奥歯には利用できない場合があります)。
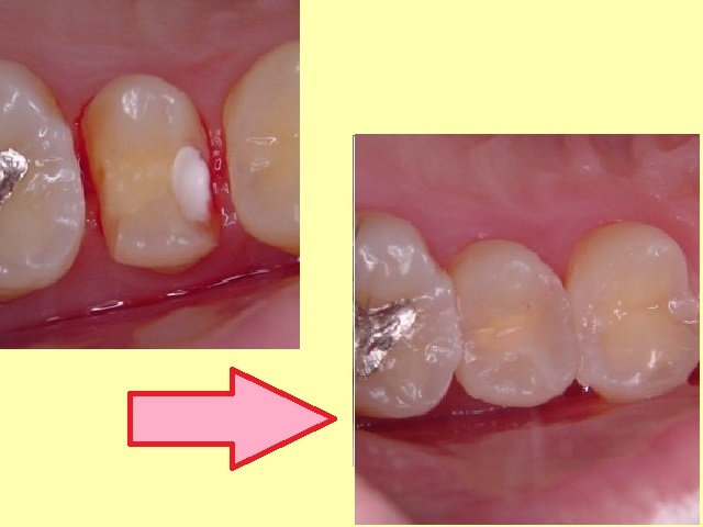
過去に治療した銀歯や変色した詰め物もきれいにすることができます。
過去に治療した銀歯や変色した詰め物もきれいにすることができます。

自費診療による治療
保険診療でも歯を白く治すことができますが、制限があり望むように治して差し上げることができません。自費診療では保険診療の枠にとらわれずに治療が出来るので、ほとんどの歯に用いることができ、より見た目が良いものとなっています。
当院では以下のものがございます。
当院では以下のものがございます。

| ポーセレン冠 | 90,000円(金属+陶材) 変色もなく、歯に近い色調で仕上がります。 |
| 前装冠(奥歯のみ) | 56,000円(金属+プラスチック) 金属冠の一部をプラスチックで覆って見た目を良くした冠です。 |
| ハイブリッドレジン冠 | 全部冠:34,000円(レジン) 一部冠:30,000円(レジン) レジンというプラスチックを主材とした冠です。歯の全体を覆うものと一部分を覆うものがあります。 |





