入れ歯
入れ歯は保険診療の枠の中で作る場合と自由診療で作る場合があります。
保険診療の特徴は入れ歯の修理・修正が容易なこと、費用負担が少ないことが挙げられます。
自由診療の特徴としては入れ歯の材料や留め方の選択肢の幅が広がることが挙げられます。
それぞれの特徴にについてご紹介します。どの方法が適しているかは患者の皆さまのお口の中の状況によって異なります。
保険診療の特徴は入れ歯の修理・修正が容易なこと、費用負担が少ないことが挙げられます。
自由診療の特徴としては入れ歯の材料や留め方の選択肢の幅が広がることが挙げられます。
それぞれの特徴にについてご紹介します。どの方法が適しているかは患者の皆さまのお口の中の状況によって異なります。
保険診療による治療
自分の歯の代わりとなる人工歯と、歯肉の上に載る床がプラスチック(レジン)でできており、それを金属の留め具(クラスプ)で留めます。プラスチックの強度の関係で一定以上の厚みが必要となります。

| 利点 | 床やクラスプが壊れてしまったり、今の顎の形に入れ歯が合わなくなってしまった時にも修理・修正がしやすいです。 また、自費診療と比べると費用負担が少ないです。 |
| 欠点 | クラスプが金属なので前歯などでは見た目が気になることがあります。 また、床の材料がプラスチックなので強度の関係で、厚みが一定以上必要となり、そのために違和感や食べ物の味や温度がわかりにくくなることがあります。 |
自費診療による治療
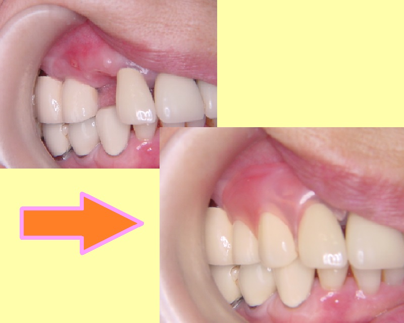
スマイルデンチャー
自費の入れ歯です。留め金を使わず樹脂で押さえるかたちの入れ歯です。留め金がないので入れ歯を入れていることがわかりにくいです。下の写真のように自然な見た目になります。
| 利点 | 留め具と床を軟らかく弾性のあるナイロン樹脂でいっしょにつくったスマイルデンチャーは、留め具が金属ではないので審美性に優れます。 また、割れにくいナイロン樹脂を使っているので薄く作ることができ、より違和感を少なくすることができます。 |
| 欠点 | 材料の性質から壊れてしまった時に修理ができません。 また、経年的に顎の骨がやせて形が変わってしまった時に修正ができない場合があります。それらの際は入れ歯の作り変えが必要になります。 |
| 費用 | 1−4歯 78,000円 5−13歯 94,000円 金属フレーム付 120,000円 |





